Dental Implant Rehabilitation in Young Patients with Severe Bone Loss: A Case Report - Dental Valution

Dental Implant Rehabilitation in Young Patients with Severe Bone Loss: A Case Report

comments

By João Caramês

Rehabilitating young patients with severe alveolar bone loss presents a unique set of challenges, particularly when previous implant treatments have failed. This report outlines the successful treatment of a 20-year-old female who sought a permanent, fixed dental solution after unsuccessful implant therapy.

Initial Situation

The patient, in good health and with no allergies, reported losing her teeth at a young age due to caries. Despite prior implant attempts, the treatments were unsuccessful, and she found the prospect of wearing removable dentures permanently unacceptable.

An extraoral examination revealed flattening of the lower third of her face, attributable to the absence of maxillary teeth. Intraoral examination showed an edentulous maxilla with severe horizontal and vertical bone loss, creating significant challenges for implant placement. Radiographic analysis confirmed recent implant failures and highlighted critical bone deficiencies in both dimensions.

Based on the SAC (Surgical, Anatomical, and Clinical) classification, the case was categorized as complex.

Treatment Planning

The treatment plan prioritized restoring both function and esthetics while ensuring long-term stability. A structured workflow was developed, incorporating:

  1. Maxilla reconstruction: Bilateral sinus lift and vertical/horizontal bone augmentation with Straumann® Xenograft.
  2. Temporary solution: A removable denture during a six-month healing phase.
  3. Digital planning: Guided implant surgery with immediate loading protocol.
  4. Implant placement: Eight Straumann® Bone Level Tapered SLActive® implants.
  5. Final restoration: A screw-retained zirconia monolithic prosthesis.

Surgical Procedure

Under local anesthesia, a full-thickness flap was created via a crestal incision to expose the surgical site. Bone augmentation was performed using Straumann® Xenograft to rebuild the alveolar ridge and provide adequate support for implants.

At the one-month follow-up, soft tissue healing was progressing well, with no complications. A CBCT scan at six months showed full integration of the augmented bone. Using digital planning software, implant positioning was meticulously designed to optimize angulation, depth, and esthetic outcomes.

During the second surgery, a surgical guide ensured precise placement of the Straumann® BLT implants, which were torqued to 35 Ncm.

Prosthetic Procedure

A temporary screw-retained prosthesis was delivered immediately, following the immediate loading protocol. This provided the patient with functional and esthetic benefits during the healing phase. Oral hygiene instructions were given, and occlusion was carefully checked.

After the osseointegration period, the treatment was finalized with a screw-retained zirconia monolithic prosthesis.

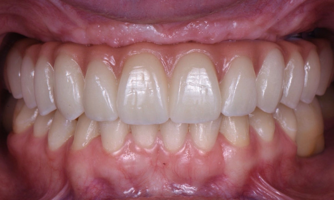
Treatment Outcomes

The final prosthesis showcased exceptional esthetics, seamlessly blending with the patient’s natural dentition, and demonstrated functional durability. Radiographic control one year post-surgery confirmed successful osseointegration and stability of the implants.

The patient expressed immense satisfaction, stating:
"I’m really pleased with the result. It was a nightmare for me, and now I feel that I can smile and be myself again. I can't even describe how grateful I am to Professor Caramês and his entire team."

Key Takeaways

  • Individualized Planning: Evaluating critical risk factors and tailoring the treatment plan to the patient’s needs are essential for success.
  • Regenerative Procedures: Bone augmentation provides significant long-term benefits for implant stability.
  • Immediate Loading: Cross-arch stabilization plays a crucial role in achieving full-arch rehabilitation.

This case exemplifies how careful planning, advanced surgical techniques, and state-of-the-art materials can restore function, esthetics, and quality of life for young patients facing complex dental challenges.

This article is sourced from: https://www.straumann.com/en/discover/youtooth/article/edentulous/2024/maxillary-full-arch-restoration-bone-augmentation-zirconia-restoration-young-patient.html

Comments 

No comments

Leave a comment
Your Email Address Will Not Be Published. Required Fields Are Marked *

Subscribe to Dental Valution
Subscribe to our newsletter and receive updates, events and more!