Content Hub

Dental Implant Rehabilitation in Young Patients with Severe Bone Loss: A Case Report - Dental Valution

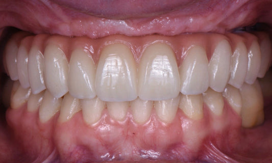
Dental Implant Rehabilitation in Young Patients...

Dental Valution

Rehabilitating young patients with severe alveolar bone loss presents a unique set of challenges, particularly when previous implant treatments have failed. This report outlines the successful treatment of a 20-year-old...

Dental Implant Rehabilitation in Young Patients...

Dental Valution

Rehabilitating young patients with severe alveolar bone loss presents a unique set of challenges, particularly when previous implant treatments have failed. This report outlines the successful treatment of a 20-year-old...

Case Study: Managing Complications During Tooth Extraction - Dental Valution

Case Study: Managing Complications During Tooth...

Dental Valution

Complications during dental procedures are sometimes unavoidable, but careful planning, thorough documentation, and timely referrals can minimize risks and enhance patient outcomes. Cases like these illustrate the value of professional...

Case Study: Managing Complications During Tooth...

Dental Valution

Complications during dental procedures are sometimes unavoidable, but careful planning, thorough documentation, and timely referrals can minimize risks and enhance patient outcomes. Cases like these illustrate the value of professional...

The Changing Landscape of Dentistry - Dental Valution

The Changing Landscape of Dentistry

Dental Valution

Advancements in technology—such as AI-powered diagnostics, 3D printing, and digital imaging—are reshaping the dental industry. As dental clinics increasingly adopt preventive, predictive, and minimally invasive treatments, the need for integrated...

The Changing Landscape of Dentistry

Dental Valution

Advancements in technology—such as AI-powered diagnostics, 3D printing, and digital imaging—are reshaping the dental industry. As dental clinics increasingly adopt preventive, predictive, and minimally invasive treatments, the need for integrated...

From Stem Cells to Dental Implants: Pioneering Bone Regeneration in Modern Dentistry - Dental Valution

From Stem Cells to Dental Implants: Pioneering ...

Dental Valution

Innovative materials and advanced biotechnology are reshaping the dental landscape. While many of us are passionate about scientific breakthroughs that improve human health, dentistry—often stereotyped as mundane—is experiencing a revolution....

From Stem Cells to Dental Implants: Pioneering ...

Dental Valution

Innovative materials and advanced biotechnology are reshaping the dental landscape. While many of us are passionate about scientific breakthroughs that improve human health, dentistry—often stereotyped as mundane—is experiencing a revolution....

How Science Fiction Laid the Groundwork for Robot Dentists - Dental Valution

How Science Fiction Laid the Groundwork for Rob...

Dental Valution

For over a century, fiction has foreshadowed the rise of robot dentists, blending imaginative storytelling with technological possibilities. Long before the era of AI dentistry, visions of autonomous machines—capable of...

How Science Fiction Laid the Groundwork for Rob...

Dental Valution

For over a century, fiction has foreshadowed the rise of robot dentists, blending imaginative storytelling with technological possibilities. Long before the era of AI dentistry, visions of autonomous machines—capable of...

Silver Diamine Fluoride (SDF): A Cost-Effective Solution for Tooth Decay - Dental Valution

Silver Diamine Fluoride (SDF): A Cost-Effective...

Dental Valution

The Australian government could play a crucial role in making SDF treatments more accessible. By subsidizing its use in public dental clinics, thousands of patients who cannot afford traditional dental...

Silver Diamine Fluoride (SDF): A Cost-Effective...

Dental Valution

The Australian government could play a crucial role in making SDF treatments more accessible. By subsidizing its use in public dental clinics, thousands of patients who cannot afford traditional dental...